
傾斜乳頭症候群 with 後部ぶどう腫 and 漿液性網膜剥離
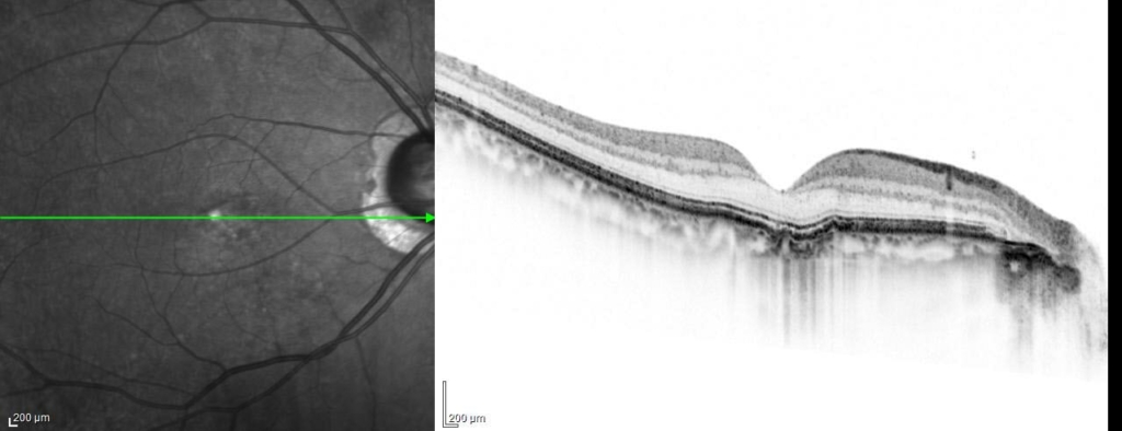
59歳 女性視力 右眼 0.06(1.0p×-3.25=c-2.50A150°) 左眼 0.03(0.2×-3.75=c-1.00A35°)主訴 左眼の視力低下で受診。 乳頭が下鼻側に傾斜し、下方に萎縮(PPA)がみられる。 両眼ともに、後部ぶどう腫staphylomaの上縁に一致して乳頭下縁から黄...
小口病
40歳 男性視力 右眼 0.02(1.2×-8.00) 左眼 0.04(1.2×-6.25=c-1.50A180°)主訴 検診で網膜色素変性症の疑いと指摘された。明らかな自覚症状なく、夜盲ははっきりしない。 金箔が剥げかかったような反射がみられる。 フラッシュERGで、減弱した...
重瞼縫合糸露出による巨大不良肉芽
3年前に埋没重瞼手術。異物感にて眼科受診し春季カタルとしてタクロリムス点眼にて経過観察されていた。改善なく当院に受診。 右眼 左眼 上皮障害はみられない。 巨大な不良肉芽があり先端から縫合糸がでている 巨大な不良肉芽があり先端から縫合糸がでて...
下眼瞼内反症 眼輪筋短縮術 Wheeler法
眼輪筋短縮術のWheeler法眼輪筋の弛緩をタッキングで短縮 術者:並木文子 根本裕次
耳側下方弁状裂孔による網膜剥離
60歳 女性主訴 3週間ほど前から飛蚊症、1週間前から視力低下を自覚視力 左眼 0.09(n.c) 硝子体手術(経毛様体扁平部硝子体切除 Pars Plana Vitrectomy:PPV、眼内レーザー、20%SF6ガス置換)+水晶体再建術を行った。 3時から8時に黄斑剥離を伴う胞状...
加齢黄斑変性症 滲出型AMD 1型CNV
70歳 男性視力 左眼 0.07(0.09×+0.50=c-1.00A95°)主訴 左眼 見えない 中心窩に灰白色病変がみられる。 網膜色素上皮 RPE異常の部位で、低~軽度高蛍光を示す。 漿液性網膜剥離 Serous Retinal Detachment(SRD)がみられる。RPEは不正に隆起し、doubl...
白内障手術 Stop & Chop法
白内障手術使用フック:ミヨシ
Malyugin Ring 瞳孔拡張リング
白内障手術小瞳孔のでの瞳孔径拡張と確保にI-ringを使用瞳孔拡張リング Malyugin RingⓇ 使用フック:Osher/Malyuginリングマニピュレーター、ミヨシ
白内障手術 分割くん使用
白内障手術hydrodissection後、核は回さず処理。使用フック:分割くん チン小帯脆弱時の核が回せないときに。
網膜中心静脈閉塞症 Central Retinal Vein Occlusion(CRVO)
70歳 女性視力 右眼 0.15(0.3p×+0.25=c-0.75A40°)主訴 右眼 徐々にかすむ既往歴 30年前からの糖尿病(HbA1c:7.4) 受診直後より抗VGEF(ラニビズマブ)の硝子体注射を4wおきに施行。 視神経乳頭中心に放射状に静脈に沿って火炎状・線状出血が網膜...


















