3年前に埋没重瞼手術。
異物感にて眼科受診し春季カタルとしてタクロリムス点眼にて経過観察されていた。改善なく当院に受診。
右眼
左眼



上皮障害はみられない。



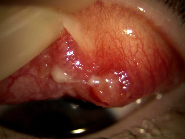
巨大な不良肉芽があり先端から縫合糸がでている


巨大な不良肉芽があり先端から縫合糸がでている。
両眼ともに、結膜側から抜糸をし、経過観察中。
3年前に埋没重瞼手術。
異物感にて眼科受診し春季カタルとしてタクロリムス点眼にて経過観察されていた。改善なく当院に受診。
右眼
左眼



上皮障害はみられない。



巨大な不良肉芽があり先端から縫合糸がでている


巨大な不良肉芽があり先端から縫合糸がでている。
両眼ともに、結膜側から抜糸をし、経過観察中。