60歳 女性
主訴 3週間ほど前から飛蚊症、1週間前から視力低下を自覚
視力 左眼 0.09(n.c)
硝子体手術(経毛様体扁平部硝子体切除 Pars Plana Vitrectomy:PPV、眼内レーザー、20%SF6ガス置換)+水晶体再建術を行った。

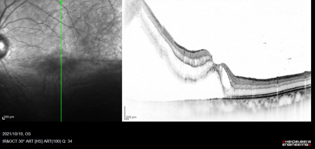
3時から8時に黄斑剥離を伴う胞状網膜剥離があり、4時に弁状裂孔がみられる。


12時から2時に格子状変性がみられる。

中心窩を含んで網膜剥離があり、外網状層の浮腫と嚢胞様変化がみられる。

硝子体手術(経毛様体扁平部硝子体切除 Pars Plana Vitrectomy PPV)、眼内レーザー、20%SF6ガス置換)+水晶体再建術を行った。

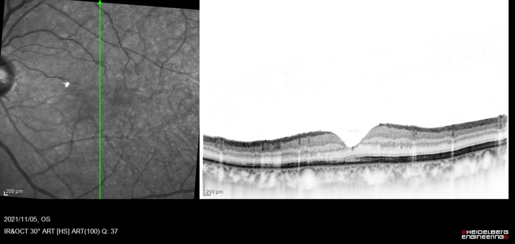
術後1か月





