70歳 女性
視力 左眼 0.05(0.07×+5.00=c-1.50A90°)
主訴 左眼の見え方が赤く見える
術後視力 左眼 0.15p(0.5×+1.50=c-1.50A90°)



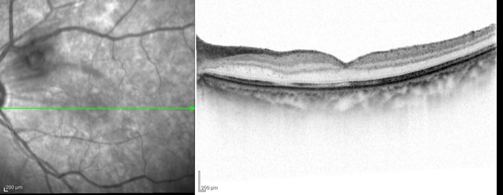
中心窩を含む鏡面形成を伴う出血がみられる。その鼻側上方に白色隆起性病変がみられる


内境界膜下 subinternal limiting membraneに出血がみられる
硝子体手術、PVD作成し血種除去。


70歳 女性
視力 左眼 0.05(0.07×+5.00=c-1.50A90°)
主訴 左眼の見え方が赤く見える
術後視力 左眼 0.15p(0.5×+1.50=c-1.50A90°)



中心窩を含む鏡面形成を伴う出血がみられる。その鼻側上方に白色隆起性病変がみられる


内境界膜下 subinternal limiting membraneに出血がみられる
硝子体手術、PVD作成し血種除去。

