56歳 女性 POAG
術前 眼圧 右眼 20mmHg 左眼 20mmHg
術後 眼圧 右眼 17mmHg 左眼 17mmHg
水晶体再建術併用眼内ドレーン挿入術で両眼にiStent inject Wを挿入。右上方はPASができたため1個閉じてしまった。しかし半年経った現在も緑内障点眼薬なしで眼圧17mmHgで安定している。


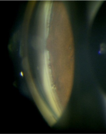
56歳 女性 POAG
術前 眼圧 右眼 20mmHg 左眼 20mmHg
術後 眼圧 右眼 17mmHg 左眼 17mmHg
水晶体再建術併用眼内ドレーン挿入術で両眼にiStent inject Wを挿入。右上方はPASができたため1個閉じてしまった。しかし半年経った現在も緑内障点眼薬なしで眼圧17mmHgで安定している。

