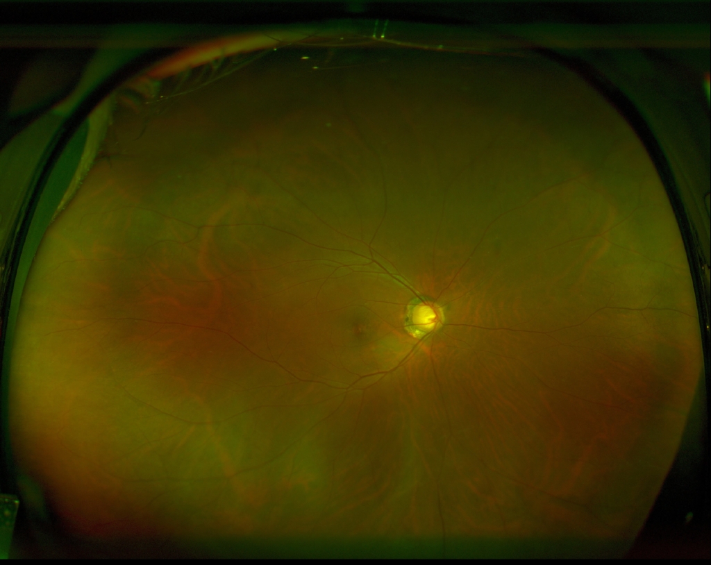
Focal Choroidal Excavation (FCE)

特に症状なく、偶然発見
視力 右眼 0.15(1.2×-2.50=c-1.00A85°)
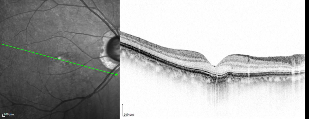
2018/10から2022/1まで中心窩所見に変化は見られません。

2018/10


中心窩の網膜色素上皮(RPE)と脈絡膜がU字の陥凹がみられる。

2022/1


Focal Choroidal Excavation (FCE)は、2006年 にJampolによって最初に報告されています。検診など偶発的な発見が多く、正確な原因は特定されていません。先天性、続発性ともに考えられており、pachychoroid disease、脈絡網膜炎症、網膜ジストロフィー、悪性腫瘍などのさまざまな疾患に関連している可能性があると報告されています。
conforming typeとnon-conforming typeがあります。

よかったらシェアしてね!
  • URLをコピーしました!
  • URLをコピーしました!
目次