70歳 女性
視力 左眼 0.02(0.3×-4.25=c-1.00A80°)
主訴 6日前の突然の視力低下、紹介受診
来院同日に、網膜下にt-PAの注入と空気置換
術後視力 左眼 0.04(1.0p×-5.50=c-0.75A50°)
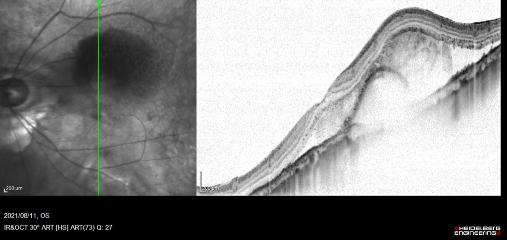
初診時




網膜下出血と出血性PEDがみられる。

低いPEDの内部は中等度~低反射が混在しており新生血管と考えられる。
術後20日



70歳 女性
視力 左眼 0.02(0.3×-4.25=c-1.00A80°)
主訴 6日前の突然の視力低下、紹介受診
来院同日に、網膜下にt-PAの注入と空気置換
術後視力 左眼 0.04(1.0p×-5.50=c-0.75A50°)
初診時




網膜下出血と出血性PEDがみられる。

低いPEDの内部は中等度~低反射が混在しており新生血管と考えられる。
術後20日


