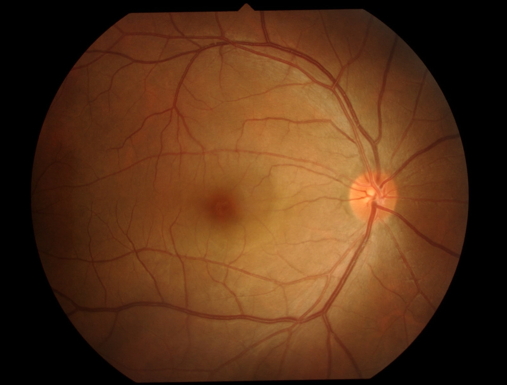
35歳 男性
主訴 起床時から左眼黄色い丸が視野の真ん中に見える
視力 左眼 0.15p(0.6p×-1.00=c-1.25A85°) 眼圧 18
現在、経過観察中、後日up予定です




黄斑部に円形病巣がみられ、その鼻側縁に黄白色病巣がみられる。

漿液性網膜剥離が見れら、網膜下に小さな色素上皮の隆起病巣がみられる。その周囲にフィブリンを示す中等度反射がみられる。網膜分離も伴っている。



黄白色病巣に一致して早期に点状の過蛍光点がみられる。


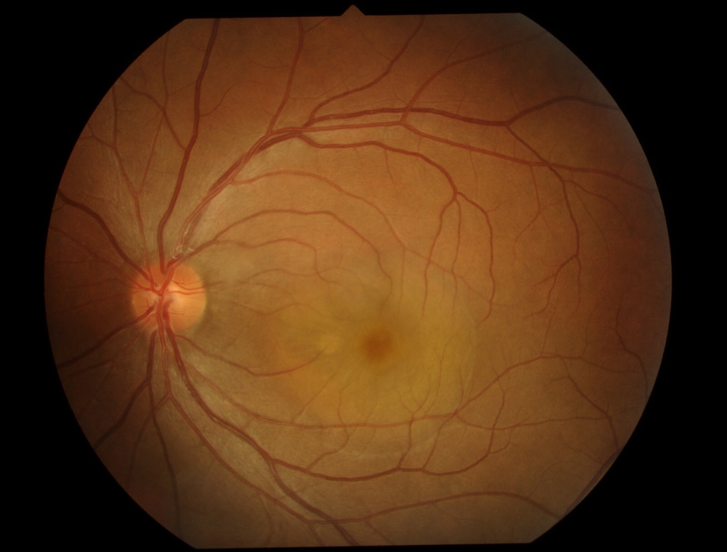
35歳 男性
主訴 起床時から左眼黄色い丸が視野の真ん中に見える
視力 左眼 0.15p(0.6p×-1.00=c-1.25A85°) 眼圧 18
現在、経過観察中、後日up予定です




黄斑部に円形病巣がみられ、その鼻側縁に黄白色病巣がみられる。

漿液性網膜剥離が見れら、網膜下に小さな色素上皮の隆起病巣がみられる。その周囲にフィブリンを示す中等度反射がみられる。網膜分離も伴っている。



黄白色病巣に一致して早期に点状の過蛍光点がみられる。

