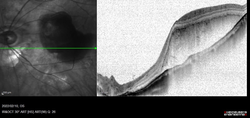
線維血管性 PED fibrovascular PEDは、表面は不整なドーム状隆起を呈する。内部は不均一な中等度から低反射を示し、漿液や出血成分、線維性の層状の中等度反射が混在している。これはRPE下のCNVの存在を示す。
4wで硝子体注射(アフリベルセプト)T&E


5wで硝子体注射


RPE下に広がるCNVとBruch膜の間に間隙が生じており、同部位でBruch膜が後方に偏位している。間隙は浸出液の貯留による。
4wで硝子体注射


間隙は縮小しているが、PED全体は増大している。

硝子体注射2日後に出血



CNVの活動性の指標として、PED内部のCNVとBruch膜に間にBruch膜を後方に押すように生じる間隙や、PED自体の増大は注意が必要。
